

Network tra professionisti esperti, consigli, trucchi e approfondimenti
Il sito MiAllineo.it è nato per consentire in modo gratuito un facile scambio di informazioni sulla tecnica ortodontica degli allineatori trasparenti.
Lo scopo è di riunire in un Circolo dell’Ortodonzia Trasparente, senza l’influenza di case produttrici o correnti accademiche, gli ortodontisti che già utilizzano la tecnica e coloro che vogliono approcciarvisi e conoscerla meglio attraverso le parole e l’esperienza diretta dei colleghi.
Grazie alla condivisione delle conoscenze e dell’esperienza dei membri della Community possiamo ALLINEARCI su protocolli predicibili, restare aggiornati e ottenere il massimo da questa affascinante tecnica ortodontica. Solo con una appropriata formazione e curva di apprendimento possiamo infatti usare correttamente questo potente mezzo terapeutico e donare agli allineatori la dignità che meritano, cioè di vera tecnica ortodontica e non di semplice camouflage estetico.
L’iscrizione è aperta a tutti i membri dello STAFF dello studio, perché il successo con gli allineatori va ben oltre la sola parte clinica.
DOMANDE e RISPOSTE
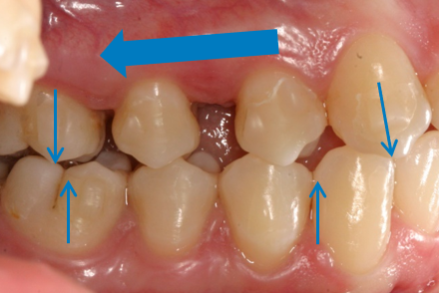
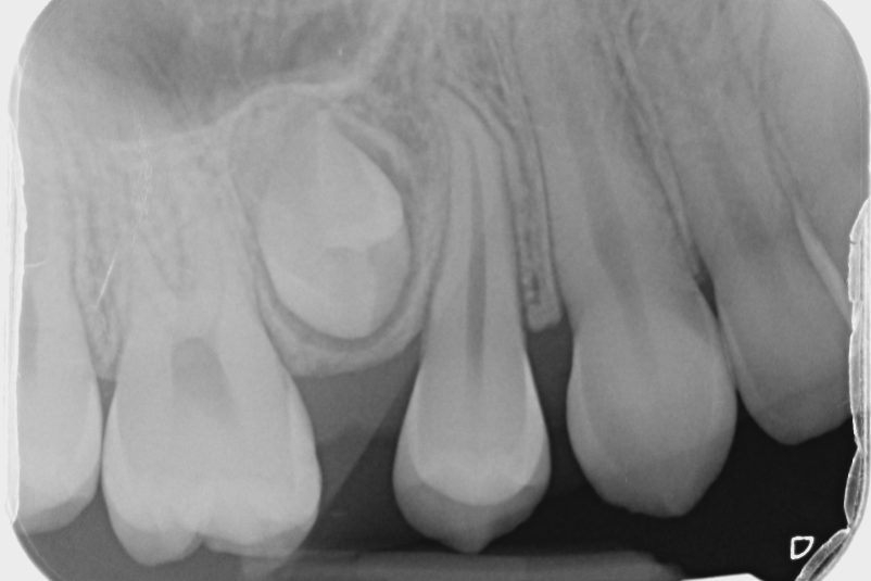
Rivolgi domande ai più esperti e sciogli i tuoi dubbi sulla tecnica, sulla progettazione o sui tuoi casi clinici, con la possibilità di inserire foto e radiografie.
Oppure aiuta tu i più giovani con esempi e consigli dettati dalla tua esperienza.
APPROFONDIMENTI
Aumenta la tua confidenza nella tecnica degli allineatori sfruttando i consigli, i trucchi e i segreti condivisi dagli altri membri della Community
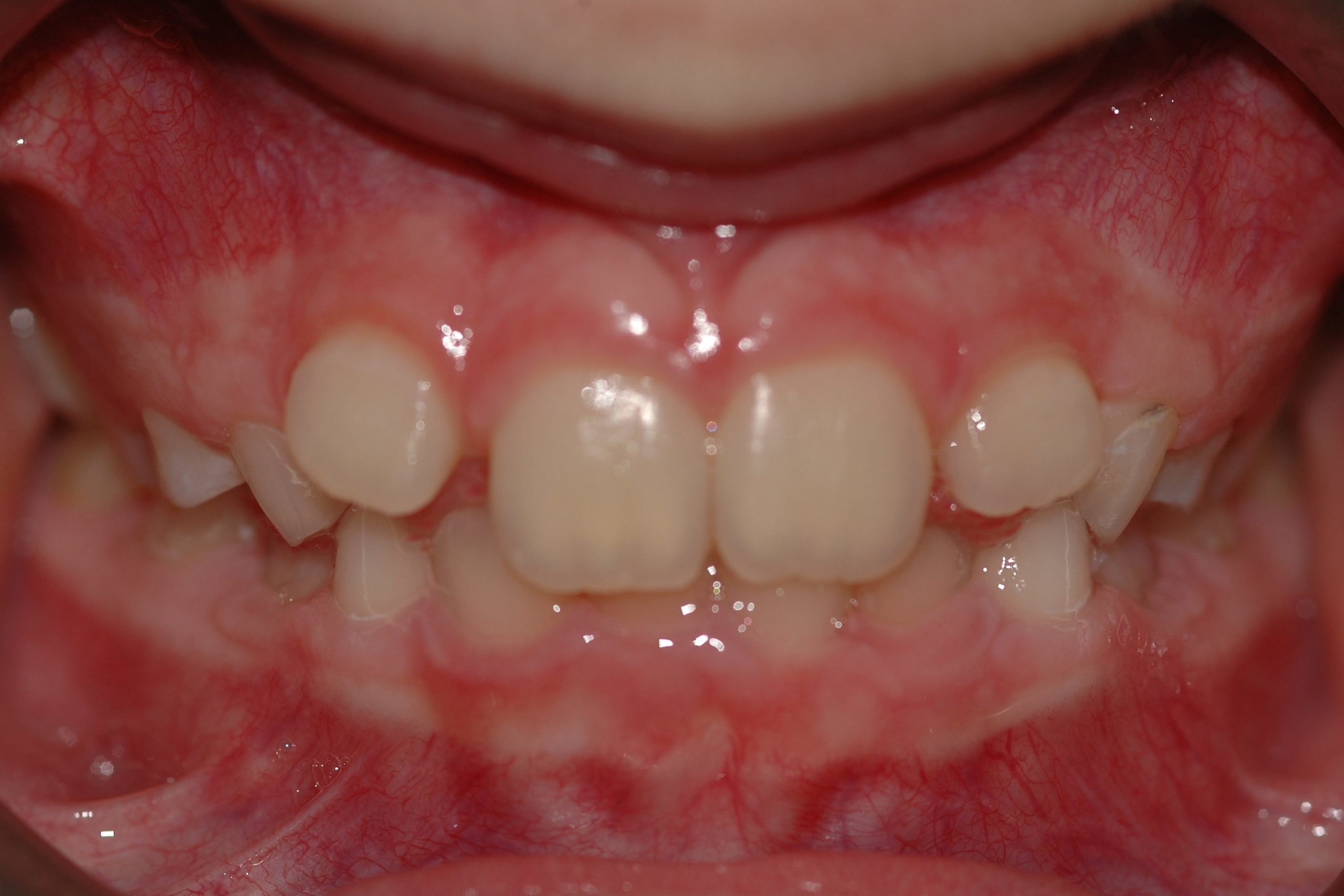
CASI CLINICI
Scopri le potenzialità della tecnica esaminando casi clinici trattati dagli utenti della Community
BIBLIOTECA SCIENTIFICA
Esplora la più completa raccolta di pubblicazioni sulla tecnica degli allineatori trasparenti.
Resta aggiornato sugli ultimi contributi della ricerca alla pratica clinica
WEBINAR
Porta la tua formazione ad un livello superiore seguendo le presentazioni in diretta di ortodontisti esperti nella tecnica, con la possibilità di porre direttamente le tue domande
ISCRIVITI AL CIRCOLO:
L’iscrizione è aperta a tutti i membri dello STAFF dello studio, perché il successo con gli allineatori va ben oltre la sola parte clinica.













