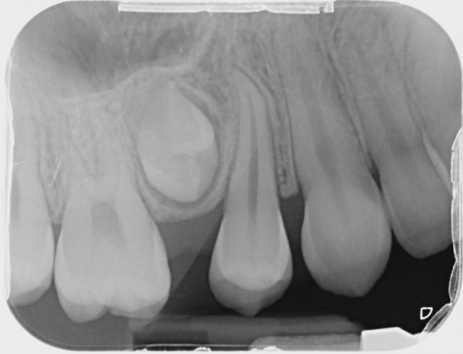
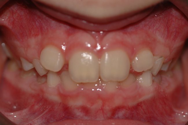
Un caso di anomalia di formazione radicolare
Diverse sono le anomalie che incontriamo nel nostro percorso lavorativo, ma la mancata formazione della radice di un elemento dentale, è cosa abbastanza inaspettata. In questa breve presentazione voglio condividere la mia scelta terapeutica per essere di aiuto a chi si dovesse trovare nella mia stessa situazione e per stimolare ulteriori proposte terapeutiche. Voi come…


